Estudiante de intercambio UAM realiza investigación en ortodoncia
La investigación en ortodoncia y el intercambio cultural fueron los protagonistas de la pasantía académica de Edgar Gómez Corona, estudiante de la Universidad Autónoma del Estado de México (UAEM), quien realizó una estancia en la Universidad Autónoma de Manizales (UAM) para fortalecer sus competencias clínicas e investigativas en la Especialización en Ortodoncia y Ortopedia Dentofacial.
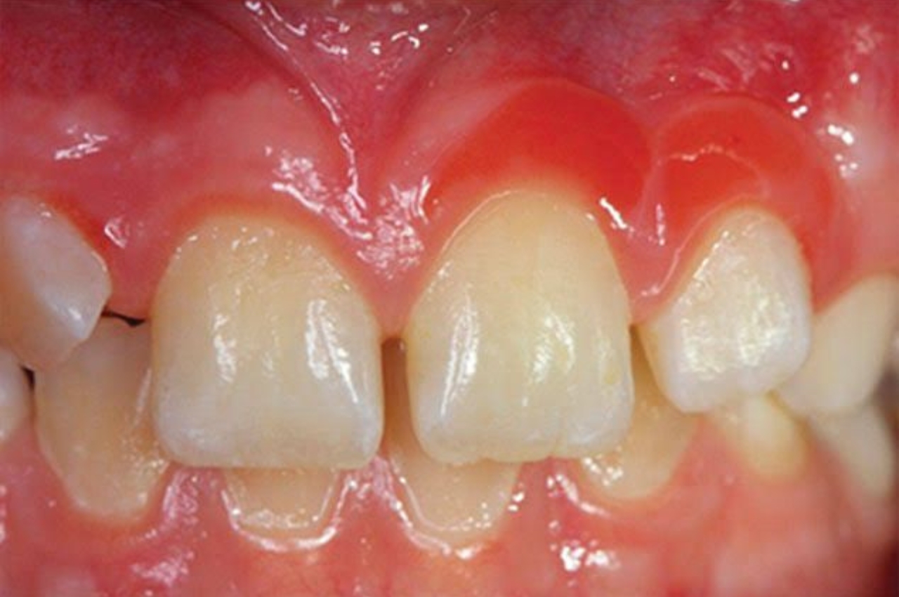
Su visita no solo consolidó los lazos académicos entre ambas instituciones, sino que también aportó nuevos conocimientos a la comunidad científica en torno a una lesión asociada a tratamientos ortodóncicos.
Durante su estancia, Edgar desarrolló una investigación titulada “hiperplasia espongiótica”, en conjunto con la doctora Brenda Yuliana Herrera Serna, quien fue su tutora en la UAM. El trabajo corresponde a un artículo de revisión enfocado en comprender esta lesión y analizar estrategias para su mitigación.
“La hiperplasia espongiótica es una lesión que se encuentra en pacientes sanos, que no tienen ninguna patología sistémica. Generalmente se observa cuando hay apiñamiento en pacientes con tratamiento de ortodoncia y aparecen movimientos dentales sin motivo aparente”, explicó Edgar.
Diversos estudios la relacionan con factores como:
- Mala higiene oral y acumulación de placa.
- Factores genéticos.
- Fuerzas ortodóncicas aplicadas durante el tratamiento.
Aunque en algunos casos la lesión puede remitir espontáneamente, existen situaciones en las que requiere intervención mediante remoción quirúrgica, terapia láser o aplicación de frío. La investigación desarrollada en la UAM se enfoca precisamente en analizar cómo mitigar este tipo de hiperplasia y aportar evidencia útil para la práctica clínica.
Este trabajo representa un aporte significativo para la comunidad académica de ortodoncia, ya que permite actualizar conocimientos y fortalecer la toma de decisiones clínicas basadas en evidencia.

Fortalecimiento de competencias clínicas
Durante su pasantía, Edgar hizo parte de las rotaciones del posgrado en Ortodoncia y Ortopedia Dentofacial, donde participó como observador en seminarios y clínicas especializadas. Esto le permitió comparar técnicas y enfoques entre ambas universidades.
“En cuanto a ortodoncia, la verdad es que es muy similar, sin embargo siento que las técnicas que emplean en la UAM las ven más a profundidad, las estudian demasiado. Emplean técnica Roth, técnica MBT y alineadores. Es interesante cómo utilizan los aparatos”, destacó el estudiante mexicano.
La experiencia le permitió identificar diferencias metodológicas, ampliar su perspectiva profesional y enriquecer las herramientas que aplicará en su ejercicio futuro.
Intercambio cultural
Más allá del componente académico, la movilidad internacional también fue una experiencia cultural significativa.
“Me ha gustado mucho la ciudad, sus paisajes, su clima. La gente es muy cálida, mis compañeros se han tomado el tiempo de enseñarme las costumbres, qué es lo que comen generalmente y a dónde se divierten”, expresó Edgar.
El intercambio no solo fortalece conocimientos técnicos, sino también habilidades interculturales y redes académicas internacionales, aspectos fundamentales en la formación de especialistas en salud.
Cooperación internacional entre la UAM y la UAEM
Para la doctora Brenda Yuliana Herrera Serna, tutora del estudiante en la UAM, este tipo de experiencias ratifica la solidez de la alianza entre ambas instituciones.
“En esta oportunidad afianzamos los lazos que tenemos con la Universidad Autónoma del Estado de México, con quienes ya hemos venido trabajando en diferentes proyectos. Hemos recibido varios estudiantes de ellos y también hemos tenido movilidad saliente hacia esa universidad, especialmente con el posgrado de ortodoncia y ortopedia dentofacial”, afirmó.
La docente explicó que la pasantía combinó una fase presencial durante las semanas que Edgar estuvo en Manizales, con un trabajo remoto que continúa actualmente hasta la culminación del proyecto de investigación.
Además, destacó la importancia del contacto directo entre investigadores: “Siempre es importante no solamente leer el artículo de la persona, sino hablar con la persona”. En ese sentido, la interacción con docentes e investigadores del grupo de investigación fortaleció el proceso académico del estudiante.
Investigación e internacionalización
La estancia de Edgar Gómez en la Universidad Autónoma de Manizales evidencia cómo la investigación en ortodoncia y la internacionalización académica se convierten en herramientas clave para el avance científico y la formación integral de especialistas.
Este tipo de movilidades no solo aportan al desarrollo individual del estudiante, sino que impactan directamente en la calidad de los programas de posgrado, fortalecen las redes de cooperación internacional y generan nuevo conocimiento útil para la práctica clínica.
La UAM continúa consolidándose como un escenario de formación avanzada en ortodoncia, donde la investigación aplicada y el intercambio académico internacional se integran para responder a las necesidades actuales de la comunidad odontológica.